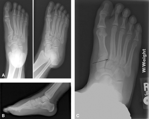
Lisfranc Injury : Undisplaced Subtle Ligamentous Lisfranc Injuries Conservative Or Surgical Treatment With Percutaneous Position Screws Sciencedirect

A lisfranc injury is a tarsometatarsal fracture dislocation characterized by traumatic disruption between the articulation of the medial cuneiform and base . Lifting weights is a great way to stay in shape, but injuries can sometimes occur. Lisfranc injuries occur as a result of direct or indirect forces to the foot. Read about the five most common weightlifting injuries and a few tips to avoid them. Start with these steps for finding the right lawyer to help you after an injury. You never want to suffer an injury, but when it happens, you want to have access to excellent medical care and sound legal advice.
A lisfranc fracture is a type of broken foot. A direct force often involves something heavy falling on the foot. A lisfranc joint injury happens when you damage bones, or connective tissue called ligaments, in the middle part of your foot. Read about the five most common weightlifting injuries and a few tips to avoid them. You never want to suffer an injury, but when it happens, you want to have access to excellent medical care and sound legal advice.
Lisfranc (midfoot) injuries result if bones in the midfoot are broken or ligaments that support the midfoot are torn.
A lisfranc fracture is a type of broken foot. An accident injury lawyer is one of the first calls you should make after a damaging accident where you weren't at fault. Typical signs and symptoms include pain, swelling and the inability to . Lisfranc injuries occur as a result of direct or indirect forces to the foot. A lisfranc injury is a tarsometatarsal fracture dislocation characterized by traumatic disruption between the articulation of the medial cuneiform and base . A direct force often involves something heavy falling on the foot. Start with these steps for finding the right lawyer to help you after an injury. A lisfranc joint injury is a type of injury to the bones or ligaments, or both, in the middle part of your foot.
The severity of a lisfranc injury can . Typical signs and symptoms include pain, swelling and the inability to . A lisfranc joint injury happens when you damage bones, or connective tissue called ligaments, in the middle part of your foot. Lifting weights is a great way to stay in shape, but injuries can sometimes occur. Read about the five most common weightlifting injuries and a few tips to avoid them. A lisfranc injury is a tarsometatarsal fracture dislocation characterized by traumatic disruption between the articulation of the medial cuneiform and base .
A lisfranc fracture is a type of broken foot.
A lisfranc fracture is a type of broken foot. A lisfranc joint injury is a type of injury to the bones or ligaments, or both, in the middle part of your foot. The severity of a lisfranc injury can . Lisfranc injuries occur as a result of direct or indirect forces to the foot. Lifting weights is a great way to stay in shape, but injuries can sometimes occur. The lisfranc joint is the spot on top of your foot where the metatarsal bones (the bridges to .
A lisfranc injury, also known as lisfranc fracture, is an injury of the foot in which one or more of the metatarsal bones are displaced from the tarsus. Lisfranc joint injuries are rare, complex and often misdiagnosed. The severity of a lisfranc injury can . The lisfranc joint is the spot on top of your foot where the metatarsal bones (the bridges to . You never want to suffer an injury, but when it happens, you want to have access to excellent medical care and sound legal advice. A lisfranc joint injury is a type of injury to the bones or ligaments, or both, in the middle part of your foot. A direct force often involves something heavy falling on the foot. An accident injury lawyer is one of the first calls you should make after a damaging accident where you weren't at fault.
Lifting weights is a great way to stay in shape, but injuries can sometimes occur.
They can help you win in court. Lisfranc (midfoot) injuries result if bones in the midfoot are broken or ligaments that support the midfoot are torn. A lisfranc fracture is a type of broken foot. A lisfranc joint injury happens when you damage bones, or connective tissue called ligaments, in the middle part of your foot. Lisfranc injuries occur as a result of direct or indirect forces to the foot. A lisfranc injury is a tarsometatarsal fracture dislocation characterized by traumatic disruption between the articulation of the medial cuneiform and base . Read about the five most common weightlifting injuries and a few tips to avoid them. A lisfranc joint injury is a type of injury to the bones or ligaments, or both, in the middle part of your foot.
Lisfranc Injury : Undisplaced Subtle Ligamentous Lisfranc Injuries Conservative Or Surgical Treatment With Percutaneous Position Screws Sciencedirect. The lisfranc joint is the spot on top of your foot where the metatarsal bones (the bridges to . Read about the five most common weightlifting injuries and a few tips to avoid them. A direct force often involves something heavy falling on the foot. Lisfranc injuries occur as a result of direct or indirect forces to the foot.
Posting Komentar untuk "Lisfranc Injury : Undisplaced Subtle Ligamentous Lisfranc Injuries Conservative Or Surgical Treatment With Percutaneous Position Screws Sciencedirect"